首 页
HOME
桑芝园
BRAND
公司简介
发展历程
种植基地
桑黄产品
PRODUCT
桑黄复合粉
桑黄原浆
桑黄葵花盘肽
桑黄粉
桑黄切片
新闻资讯
NEWS
公司新闻
桑黄养生
专家讲桑黄
学术研究
商务合作
Cooperation
联系我们
CONTACT
联系方式
在线留言
首 页
桑芝园
公司简介
发展历程
种植基地
桑黄产品
桑黄复合粉
桑黄原浆
桑黄葵花盘肽
桑黄粉
桑黄切片
新闻资讯
公司新闻
桑黄养生
专家讲桑黄
学术研究
商务合作
VIP中心
VIP中心
联系我们
联系方式
首页
>
新闻资讯
>
学术研究
学术研究
2026-03-03 14:02:20
论文解读|桑黄免疫调节活性大揭秘!
桑黄,作为《神农本草经》中记载的传统药用真菌,自古便有止血、抗炎的药用价值,而现代研究更是发现其核心价值 ——强大的免疫调节活性。《中华中医药学刊》的最新研究,系统拆解了桑黄中多糖、酚类、萜类等核心成分的免疫调节机制,从细胞、动物到临床层面给出了详实...
MORE
2026-02-28 11:46:06
论文解读|“液态发酵”让桑黄产量翻倍
你听说过桑黄吗?这种珍稀真菌可是个“明星”,被称为“森林黄金”。因为它含有的多糖、黄酮等成分,在抗氧化、辅助抗肿瘤等方面显示出巨大的潜力。但桑黄有个“贵族病”:野生资源稀少,人工栽培又太慢。传统方式培养桑黄,就像种蘑菇,动辄要好几个月,还容易长虫生病...
MORE
2026-01-29 16:55:04
论文解读|桑黄的免疫调节作用
在我国传统中药宝库中,桑黄是一颗低调却极具价值的明珠。最早在《神农本草经》中被称为 “桑耳”,唐初《药性论》明确其 “治女子崩中带下、止血、抗发炎” 的功效,如今随着现代科研的深入,这种主产于我国东北、云南等地,且在日韩、欧美广泛分布的药用真菌,其强...
MORE
2026-01-22 15:53:42
你辛苦加班,免疫系统却在“摸鱼”?
你是不是也经常陷入这样的健康“怪圈”?熬夜加班后免疫力“断崖式下跌”;季节一变立刻加入感冒“氛围组”;体检单上总有几项指标在“危险边缘试探”……别慌!你不是一个人在与亚健康“斗智斗勇”。今天,我们就用一组“硬核实验数据”,帮你揭秘一款“内卷”免疫力的...
MORE
2026-01-22 15:33:39
论文解读|桑黄多糖的研究现状、实验数据与应用前景
一、论文针对的人群和问题(一)针对人群医药研发领域科研人员:该论文系统总结了桑黄多糖的提取、分离、精制方法及药理作用,为新药研发提供了丰富的理论依据和实验参考,有助于科研人员开展桑黄多糖相关药物的研发工作。食品、保健品及护肤品行业研发人员:桑黄多糖具...
MORE
2026-01-17 10:07:37
论文解读|16种食用菌研究,桑黄表现优异
本文对16种常见食用菌的醇提物进行了系统的体外抗氧化和抗炎活性评价,旨在筛选具有潜在健康功效的食用菌资源。研究采用80%乙醇提取活性成分,通过测定总黄酮、总酚及总三萜含量,结合DPPH、ABTS自由基清除实验,以及脂多糖(LPS)诱导的巨噬细胞RAW...
MORE
2025-12-25 13:40:05
论文解析|胃癌晚期更应该服用桑黄
胃癌一直是我国面临的重大公共卫生挑战。全球每年有超过100万人被诊断出胃癌,而我国贡献了相当大比例的病例数。令人担忧的是,大多数中国患者确诊时已进入晚期阶段。研究统计,晚期胃癌患者的预后普遍较差,5年生存率仅为4.3%,中位生存期也只有12-15个月...
MORE
2025-12-12 14:08:17
论文解读|桑黄能改善肝脏代谢
随着生活方式的改变,非酒精性脂肪肝(NAFLD)已成为全球高发的慢性肝病。数据显示,其全球发病率约 25%,中国患病人数占比更是高达 30%,且正逐步成为肝移植的主要原因之一,严重威胁人体健康。这种疾病的核心是肝脏脂肪过度堆积,若不及时干预,可能进展...
MORE
2025-12-04 13:24:49
论文解读|桑黄多酚保护肺损伤
急性肺损伤(ALI)及后续进展的肺间质纤维化(IPF)是致命性呼吸系统疾病,核心病理机制为失控的炎症反应、氧化应激失衡,以及转化生长因子-β(TGF-β)介导的上皮-间质转化(EMT),最终导致肺泡结构破坏、呼吸功能衰竭。目前临床缺乏特效药物逆转疾病...
MORE
2025-11-21 11:25:31
论文解读|桑黄的“增强免疫与诱导肿瘤细胞凋亡的双重功效”
肿瘤的发生发展与机体免疫功能失衡密切相关,免疫器官损伤、免疫细胞活性下降会导致肿瘤细胞逃避免疫监视,加速增殖。化疗药物虽能抑制肿瘤生长,但易损伤脾脏、胸腺等免疫器官,进一步削弱免疫功能,影响治疗效果。因此,寻找既能抑瘤又能调节免疫的天然物质,成为肿瘤...
MORE
2025-11-13 14:41:24
森林中的“黄金”,已成控糖秘诀!
11月14日“世界糖尿病日”悄然将至,今年主题“糖尿病与幸福感”。这是温柔地提醒:血糖,不只是体检单上的数字,更牵动着每一天的生活。那些偶尔的口干、时常的疲惫,不该被忽略——它们是身体的控诉:该多关心自己一点。随着年龄增长,身体对血糖的调节能力也在变...
MORE
2025-11-13 14:40:34
论文解读|桑黄提取物抑制宫颈癌的机制研究
从古时帝王苦寻长生不老药,到现代科技追捧“冻龄”秘诀,人类对抗衰老的执念从未停歇。宫颈癌作为威胁女性健康的高发恶性肿瘤,全球每年死亡人数超31万,我国新发病例逐年攀升。目前临床治疗以手术、放化疗为主,但晚期患者预后较差,化疗药物的毒副作用及肿瘤耐药性...
MORE
2025-10-22 14:39:10
论文解读-桑黄水提物防治黑色素瘤的机制
黑色素瘤作为恶性程度最高的皮肤癌类型,虽仅占皮肤癌发病率的 4%,却贡献了 75% 的皮肤癌死亡率,其转移后临床治疗手段有限,化疗副作用显著、靶向药物受基因型限制,亟需安全高效的新型干预方案。细胞周期失控是黑色素瘤无限增殖的核心特征,若能精准阻断细胞...
MORE
2025-10-15 11:09:31
论文解读|桑黄可缓解急性痛风性关节炎
急性痛风性关节炎(AGA)作为高尿酸血症引发的急性炎症性疾病,近年来因饮食结构失衡、代谢紊乱等因素,全球发病率持续攀升。其核心病理机制是单钠尿酸盐(MSU)晶体沉积于关节腔,激活核苷酸结合寡聚化结构域样受体蛋白 3(NLRP3)炎症小体 —— 该炎症...
MORE
2025-09-27 09:31:41
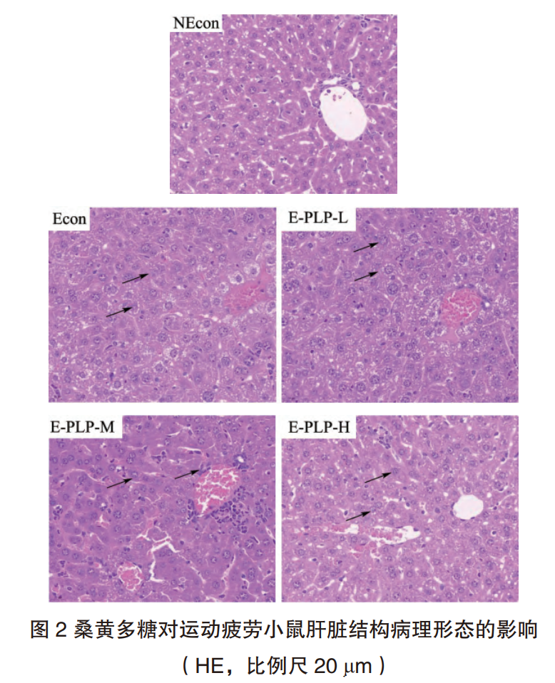
论文解读|桑黄对运动疲劳肝损伤的保护作用
随着全民健身意识提升,高强度、长时间运动引发的运动疲劳及继发损伤逐渐受到关注。肝脏作为机体代谢调节的核心器官,在运动疲劳状态下易因活性氧(ROS)过量蓄积、炎症因子风暴激活,出现氧化应激损伤与功能紊乱 —— 表现为肝脏系数升高、抗氧化酶(SOD、CA...
MORE
2025-09-27 09:22:03
论文解读|桑黄可改善非酒精性脂肪肝
非酒精性脂肪肝(NAFLD)作为全球发病率最高的慢性肝病之一,已成为威胁人类肝脏健康的 “隐形杀手”。全球约 25% 的人群受其困扰,在中国,发病率更是攀升至 30%,且患者群体逐渐年轻化。NAFLD 以肝脏脂肪过度蓄积为核心特征,若不及时干预,会逐...
MORE
2025-09-19 18:08:20
桑芝园:以科学传承智慧,以专业守护家庭
当秋意渐浓,家中一碗热汤的温度,总能抚慰人心。然而,看不见的健康威胁——诺如病毒,也正悄然进入活跃期。日前,沈阳师范大学因诺如病毒引发的公共卫生事件引发广泛关注。截至9月7日,累计报告有胃肠炎症状者超两千人。几乎同时,国家卫健委发布《诺如病毒胃肠炎诊...
MORE
2025-09-19 18:06:51
论文解读|桑黄素的骨骼保护机制
随着全球老龄化进程的加快,骨质疏松症已成为威胁老年人健康的重大公共卫生问题。它以骨量减少、骨组织微结构破坏为特征,导致骨脆性增加,骨折风险大幅上升。据统计,50岁以上人群中,约1/3的女性和1/5的男性会受骨质疏松症影响,髋部骨折后一年内,20%的患...
MORE
2025-09-13 11:48:34
桑黄守护健康基石 为全民健康添彩
九月是我国的全民健康生活月,今年主题是“培养健康生活方式,筑牢家庭健康基石”,旨在推动全民树立科学健康理念,提升家庭健康管理水平。随着秋季到来,人们的饮食习惯和生活方式面临新的调整,“三减三健”理念愈发受到关注。“三减三健”即减盐、减油、减糖,健康口...
MORE
2025-09-13 11:47:56
论文解读|桑黄可阻止结直肠癌侵袭转移
结直肠癌作为全球发病率和死亡率均位居前三的消化系统恶性肿瘤,其高复发转移特性是导致患者预后不佳的核心难题。临床治疗中,手术、化疗等传统手段虽能控制局部病灶,但易引发肠道功能损伤、耐药性等副作用,且难以有效阻止癌细胞远端转移 —— 而转移正是结直肠癌患...
MORE
首页
上一页
1
2
3
下一页
末页